歯牙移植

虫歯や破折などで歯のダメージが大きく,
やむを得ず抜歯に至るような場合に,
親知らずのように使われていない歯を移植して,
元の歯の代わりとして使うことが出来る場合があります.

歯牙移植

歯牙移植

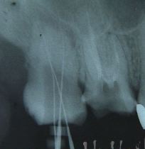
奥から2番目の歯が大きく割れて,
抜歯を余儀なくされました.
しかしその奥に状態の良い親知らずがありました.
これを手前の歯を抜いた直後に移植します.


歯牙移植

移植直後です.
予後は順調です.


歯牙移植

約5か月経ってから根管治療を行います.


歯牙移植

移植から約7か月で治療が完了です.

もどる

御意見ご質問は、こちらまで