8.進行した歯周病の改善症例


初診です.
歯周病が進行し前歯が出てしまい,
口を閉じることができません.

残念ながら前歯のいくつかはぐらぐらなので抜歯せざるを得ませんでした.
抜歯と同時に腫れている歯ぐきを切り取ります.

前歯にブリッジタイプの仮歯を入れます.
腫れた歯ぐきがなくなりますがこのままではへこみができてしまいます.

そのままブリッジをいれると長さが不均一になる事を仮歯でテストします.

歯ぐきの強化と審美的な回復を一度の手術で行います.

術後一週間後です.

仮歯を戻します.
歯ぐきにボリュームが出たので仮歯を押しつけて
今度は歯ぐきに窪みを造ります.

まだ仮歯ですがこの形で仕上げていきます.
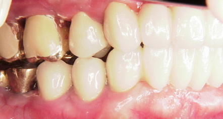
下の奥歯はほとんどがインプラントです.

![]() |
![]() |
治療完了です.
<費用>
インプラントは保険外診療となるため症例によりインプラント一本につき275,000円〜423,500円の費用がかかります。
<主なリスク・副作用>
インプラント治療後は以下のような症状が見られる可能性があります。
正しい歯磨きを継続しないとインプラント周囲炎のリスクがあります。
強い外力が加わると(事故や転倒など)破折や脱落の可能性があります。
定期検診を継続し、クリーニングやかみ合わせチェックを行う必要があります。
外科的観血的手術になるので全身的既往歴のある方は手術が行えない場合があります。
喫煙者は成功率が著しく低下する場合があります。
<費用>
ジルコニアクラウンは保険外診療となるため一本につき126,500〜129,800円の費用がかかります。
矯正は保険外診療となるため症例により歯一本につき55,000〜77,000円の費用がかかります。
<主なリスク・副作用>
ジルコニアクラウン治療後は、以下のような症状が見られる可能性があります。
強い外力が加わると(事故や転倒など)破折や脱落の可能性があります。
激しいスポーツの際にはマウスガードの使用をお勧めします。
定期検診を継続し、クリーニングやかみ合わせチェックを行う必要があります。
矯正治療後は、以下のような症状が見られる可能性があります。
正しい歯磨きを継続しないと、歯周病、虫歯のリスクがあります。
定期検診を継続し、クリーニングやかみ合わせチェックを行う必要があります。
御意見ご質問は、こちらまで