矯正について

矯正について

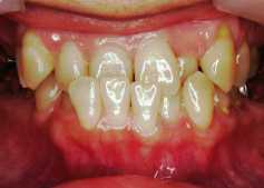
初診です.
かみ合わせが反対になっています.


矯正について

仮の歯を入れて見えないようにしながら矯正します.


矯正について

裏側から見たところです.


矯正について

歯ぐきの手術が終わった所です.


矯正について

最終的な歯が入ります.

<費用>

ジルコニアクラウンは保険外診療となるため一本につき126,500〜129,800円の費用がかかります。

矯正は保険外診療となるため症例により歯一本につき55,000〜77,000円の費用がかかります。

<主なリスク・副作用>

ジルコニアクラウン治療後は、以下のような症状が見られる可能性があります。

強い外力が加わると(事故や転倒など)破折や脱落の可能性があります。

激しいスポーツの際にはマウスガードの使用をお勧めします。

定期検診を継続し、クリーニングやかみ合わせチェックを行う必要があります。

矯正治療後は、以下のような症状が見られる可能性があります。

正しい歯磨きを継続しないと、歯周病、虫歯のリスクがあります。

定期検診を継続し、クリーニングやかみ合わせチェックを行う必要があります。

コイン通りデンタルクリニックでは成人矯正を
主に行っております.

原則として成人の場合は矯正装置を隠して行います.

成人矯正は子供の矯正とは少し異なり
歯ぐきの手術を実施することがしばしばあります.

歯ぐきの手術については歯ぐきの手術をご覧下さい.

そのほかの矯正症例

御意見ご質問は、こちらまで