ランガーテクニック

神経のある歯が冷たい水やブラッシングでしみる場合,
歯周手術で回復出来る場合があります.

奥から2番目の歯にブラッシング時の冷水痛があります.
痛いから磨けない,磨けないから痛いと言う悪循環です.


歯の外側の歯ぐきを骨膜を残して大きく開きます.


上顎から結合組織を採取して剥がした
歯ぐきの下に挟み込み縫合します.


歯の内側の歯ぐきの上皮を残して内部にある
結合組織だけをえぐって採取します.
その後すぐに縫合します.


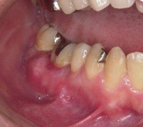
術後1週間です.
歯ぐきが重なっているのが見えます.
この時点で症状はありません.


術後二週間です.
痛みは全くなく冷水痛も治まりました.
もともとこの歯の歯ぐきが骨から
剥がれていたのが原因なので骨にしっかり
付着する歯ぐきを造る事で問題が解決します.

外科的観血的手術になるので全身的既往歴のある方は手術が行えない場合があります。

喫煙者は成功率が著しく低下する場合があります。

戻る